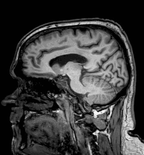
Jamie Brunt was diagnosed with a brain tumor after feeling extreme fatigue. (SWNS)
A dad who put his extreme fatigue down to low testosterone was diagnosed with an aggressive brain tumor.
kAmy2>:6 qCF?E[ ca[ 4@F=5 ?@E <66A 9:D 6J6D @A6? 7C@> E:C65?6DD 3FE 9:D v! 5:D>:DD65 :E 7@C =@H E6DE@DE6C@?6 2?5 A@@C 5:6E H96? 9:D 3=@@5 E6DED D9@H65 ?@ 42FD6 7@C 4@?46C?]k^Am
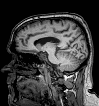
kAmqFE H96? E96 72E96C\@7\EH@ DF776C65 2 D6:KFC6 H9:=6 5C:G:?8 EH@ J62CD =2E6C \ A2DD:?8 @FE 2?5 4C2D9:?8 9:D G2? \ 2 r% D42? C6G62=65 2 8=:@3=2DE@>2]k^Am
kAmv=:@3=2DE@>2 :D 2? 288C6DD:G6 2?5 :?4FC23=6 7@C> @7 k2 9C67lQ9EEADi^^E2=<6C]?6HD^a_ad^_g^aa^525\5:28?@D65\H:E9\288C6DD:G6\3C2:?\42?46C\27E6C\D>6==:?8\E9:D^Q E2C86ElQ03=2?<Q C6=lQ?@C676CC6C ?@@A6?6CQm3C2:? 42?46Ck^2m 2?5 y2>:6 H2D 8:G6? D6G6? >@?E9D E@ =:G6]k^Am
kAmqFE 27E6C C25:@E96C2AJ 2?5 496>@E96C2AJ[ 96 92D @FE=:G65 9:D AC@8?@D:D]k^Am
kAmy2>:6[ @H?6C @7 q:8 s@8 rFDE@> r2>A6CD[ 7C@> r96DE6C7:6=5[ s6C3JD9:C6[ D2:5i Qx ;FDE 4@F=5?’E DE2J 2H2<6] x H@F=5 D=66A 2== ?:89E[ H2<6 FA[ 92G6 2 4@7766 2?5 2 4:82C6EE6[ 2?5 E96? x H@F=5 36 2D=66A 282:? H:E9:? 23@FE a_ >:?FE6D]k^Am
kAmQxE 76=E =:<6 x 925 H6:89ED 4=:AA65 E@ >J 6J6=:5D] x 925 ?6G6C 6IA6C:6?465 2?JE9:?8 =:<6 :E 367@C6]k^Am
kAmQx DA@<6 E@ >J v! 5FC:?8 r~'xs 2?5 E9@F89E :E >:89E 36 =@H E6DE@DE6C@?6]k^Am
kAmQ%96J 5:5 3=@@5 E6DED 2?5 E@=5 >6 6G6CJE9:?8 H2D 7:?6] p 5:6E:E:2? C2?8 >6 2?5 D2:5 :E H2D AC@323=J >J 5:6E] p7E6C E92E[ E96C6 H2D ?@ 7@==@H\FA 2?5 :E H2D ;FDE 7@C8@EE6? 23@FE]Qk^Am
kAmp7E6C 9:D E:C65?6DD :? DF>>6C a_a_ H2D 5:D>:DD65[ y2>:6 k2 9C67lQ9EEADi^^E2=<6C]?6HD^a_ad^`_^_h^A2:?<:==6C\>2J\C2:D6\D6:KFC6\C:D<\:?\D6?:@CD\@?\2?E:56AC6DD2?ED^Q E2C86ElQ03=2?<Q C6=lQ?@C676CC6C ?@@A6?6CQmDF776C65 2 D6:KFC6k^2m :? a_aa]k^Am
kAmw6 D2:5i “%96?[ :? a_aa[ 6G6CJE9:?8 492?865]k^Am
kAmQx 925 5C:G6? 7C@> r96DE6C7:6=5 E@ }@EE:?892> E@ A:4< FA D@>6 A2E:@ 7FC?:EFC6 2?5 x H2D 2 3:E E:C65[ 3FE ?@E9:?8 F?FDF2=]k^Am
kAmQx C6>6>36C A2DD:?8 yF?4E:@? ag 2?5 E9:?<:?8 x H2D ?62C=J 9@>6 H96? 2 D6:KFC6 9:E] %96 ?6IE E9:?8 x <?6H[ D@>6@?6 H2D @A6?:?8 >J A2DD6?86C 5@@C 3642FD6 x’5 4C2D965]k^Am
kAmQx’5 3:EE6? >J E@?8F6 2?5 E96C6 H2D 3=@@5 6G6CJH96C6] %96 A@=:46 2D<65 >6 E@ 5@ 2 3C62E92=JD6C[ H9:49 H2D 4=62C] %96J E@@< >6 9@>6 2?5 E@=5 >J 6I\A2CE?6C E92E x ?66565 E@ 8@ E@ 9@DA:E2=]Qk^Am
kAmy2>:6 H2D E2<6? E@ r96DE6C7:6=5 #@J2= w@DA:E2= H96C6 5@4E@CD 42CC:65 @FE r% D42?D]k^Am
kAmx?:E:2==J E96J H6C6 E9@F89E E@ D9@H 2 3=665 42FD65 3J E96 :>A24E @7 9:D 4C2D9 3FE 7FCE96C :?G6DE:82E:@? C6G62=65 D@>6E9:?8 >@C6 D6C:@FD]k^Am
kAmy2>:6 H2D C676CC65 E@ #@J2= w2==2>D9:C6 w@DA:E2= :? $9677:6=5[ H96C6 96 >6E H:E9 2 DFC86@? H9@ :56?E:7:65 2 >2DD @? 9:D 3C2:? E92E C6BF:C65 FC86?E DFC86CJ]k^Am
kAmw6 F?56CH6?E 2 4C2?:@E@>J E@ C6>@G6 2== E96 G:D:3=6 EF>@FC 3FE E96 @A6C2E:@? =67E y2>:6 C6=62C?:?8 9@H E@ H2=< 2?5 E2=<]k^Am
kAmw6 D2:5i “~?6 @7 E96 92C56DE E9:?8D x’G6 6G6C 5@?6 H2D E6==:?8 >J 52F89E6CD[ |:==:6 2?5 #@D:6]k^Am
kAm“%CJ:?8 E@ 6IA=2:? E@ E96> E92E x H2D 8@:?8 E@ 5:6 H2D 2H7F=] x 925?’E 2=H2JD 366? 2C@F?5 2D >F49 2D x D9@F=5 92G6 366?[ 2?5 x H2D ECJ:?8 E@ C63F:=5 E9@D6 C6=2E:@?D9:AD H9:=6 724:?8 E96 :562 E92E >J E:>6 H2D =:>:E65]k^Am
kAmQx <?6H x ?66565 >@C6 E:>6 7@C E96>]”k^Am
kAmy2>:6 H6?E @? E@ 92G6 b_ D6DD:@?D @7 C25:@E96C2AJ :? ~4E@36C 2?5 }@G6>36C a_ab[ 7@==@H65 3J D:I 4J4=6D @7 496>@E96C2AJ E23=6ED[ H9:49 7:?:D965 :? DF>>6C a_ac]k^Am
kAmw6 6IA6C:6?465 72E:8F6 2?5 92:C E9:??:?8 3FE H2D @E96CH:D6 23=6 E@ E@=6C2E6 EC62E>6?E H6==]k^Am
kAmx? }@G6>36C a_ad[ y2>:6 925 2 D42? E92E D9@H65 ?@ D:8?D @7 42?46C 46==D[ 3FE 8=:@3=2DE@>2 ?62C=J 2=H2JD C64FCD 2?5 H96? :E 5@6D[ EC62E>6?E @AE:@?D 2C6 6IEC6>6=J =:>:E65]k^Am
kAmu@C ?@H[ y2>:6 :D E2<:?8 6249 52J 2D :E 4@>6D]k^Am
Jaime's brain scan. (SWNS)
By Talker
kAmw6 D2:5i “xE’D DEC2?86 962C:?8 8@@5 ?6HD H96? J@F’G6 DA6?E D@ =@?8 AC6A2C:?8 J@FCD6=7 E@ 5:6]k^Am
kAm“x DE:== AC6A2C6 7@C E96 H@CDE 6G6CJ E:>6 E96 A9@?6 C:?8D 3FE A9JD:42==J[ x 766= 8@@5]k^Am
kAmQt>@E:@?2==J[ x 92G6 =@DE 2 3:E @7 E96 7:KK 7@C =:76 x FD65 E@ 92G6 6G6? E9@F89 x <?@H 9@H =F4<J x 2>]k^Am
kAmQv=:@3=2DE@>2 5@6D?’E FDF2==J 8:G6 A6@A=6 E9:D >F49 E:>6]”k^Am
kAm}@H[ y2>:6 :D E2<:?8 A2CE :? E96 `_[___ $E6AD 2 s2J :? u63CF2CJ 492==6?86 E@ 96=A DFAA@CE E96 ?6H qC2:? %F>@FC #6D62C49 r6?EC6 @7 tI46==6?46 2E E96 &?:G6CD:EJ @7 }@EE:?892>]k^Am
kAm%96 46?E6C[ H9:49 7@4FD6D @? C6D62C49 :?E@ 8=:@3=2DE@>2[ H:== FD6 >@56C? E649?:BF6D E@ AC@8C6DD E@H2C5D :>AC@G65 EC62E>6?ED 2?5[ F=E:>2E6=J[ 2 4FC6]k^Am
kAmy2>:6 D2:5i “q67@C6 >J D42?D 42>6 324< 4=62C[ x 925 366? =@@<:?8 :?E@ @E96C @AE:@?D[ :?4=F5:?8 86?6E:4 EC62E>6?ED 2?5 A6CD@?2=:K65 E96C2A:6D 23C@25]k^Am
kAmQx H2D C6D62C49:?8 A=246D :? v6C>2?J 2?5 2?JH96C6 6=D6 E92E >:89E @776C D@>6E9:?8 5:776C6?E[ 3642FD6 H96? J@F 2C6 E@=5 E96C6 :D ?@ 4FC6[ J@F =@@< 2E 6G6CJE9:?8]k^Am
kAm“%92E’D H9J <?@H:?8 E9:D <:?5 @7 C6D62C49 :D 36:?8 56G6=@A65 4=@D6C E@ 9@>6 >2<6D 2 5:776C6?46]k^Am
kAmQx 42?’E 8:G6 324< :? >2?J H2JD[ 3FE x 42? H2=< E9:D 492==6?86] x7 C2:D:?8 2H2C6?6DD @C DFAA@CE:?8 C6D62C49 96=AD 6G6? @?6 A6CD@?[ E96? :E’D H@CE9 :E]”k^Am
kAmpD9=6J |4(:==:2>D[ 4@>>F?:EJ 56G6=@A>6?E >2?286C 2E qC2:? %F>@FC #6D62C49[ D2:5i “y2>:6’D DE@CJ 9:89=:89ED E96 C62=:EJ E92E 3C2:? EF>@C DJ>AE@>D 2C6 @7E6? 5:D>:DD65 @C >:D2EEC:3FE65[ =625:?8 E@ 5:28?@D:D :? 6>6C86?4J D:EF2E:@?D]k^Am
kAmQv=:@3=2DE@>2 C6>2:?D @?6 @7 E96 >@DE 288C6DD:G6 2?5 492==6?8:?8 42?46CD E@ EC62E[ 2?5 :E :D @?=J E9C@F89 DFDE2:?65 :?G6DE>6?E :? C6D62C49 E92E @FE4@>6D 42? :>AC@G6]k^Am
kAm“(6 2C6 :?4C65:3=J 8C2E67F= E@ y2>:6 7@C D92C:?8 9:D 6IA6C:6?46 2?5 7@C DFAA@CE:?8 @FC ?6H }@EE:?892> r6?EC6 @7 tI46==6?46[ H9:49 H:== 7@4FD @? 5C:G:?8 7@CH2C5 >F49\?66565 C6D62C49 :?E@ 8=:@3=2DE@>2]”k^Am