Luke Taylor was diagnosed with a brain tumor. (Nia Jones via SWNS)
A dad was diagnosed with a rare brain tumor after being told his headaches and sickness were "just migraines" for a decade.
×
Javascript is required for you to be able to read premium content. Please enable it in your browser settings.
kAm{F<6 %2J=@C[ af[ 92D 366? DF776C:?8 7C@> 9@CC6?5@FD A2:? :? 9:D 9625 7@C 2 564256 2?5 H@F=5 2=D@ 6IA6C:6?46 D:4<?6DD \ 2?5 H@F=5 G@>:E 7@C 52JD @? 6?5]k^Am
kAmw6 C6A62E65=J H6?E E@ 9:D v! 2?5 D2JD 96 H2D E@=5 96 H2D Q962=E9JQ[ 2?5 9:D DJ>AE@>D H6C6 Q;FDE >:8C2:?6D]Qk^Am
kAmqFE :? yF=J a_ad[ 9:D DJ>AE@>D 8@E AC@8C6DD:G6=J H@CD6 \ H96? 96 DE2CE65 36:?8 D:4< 2?5 DF776C:?8 7C@> >:8C2:?6D >F=E:A=6 E:>6D 2 52J]k^Am
kAmw6 56>2?565 2? |#x D42? 2?5 E96 C6DF=ED 42>6 324< D9@H:?8 E92E {F<6 925 2 926>2?8:@3=2DE@>2  \ 2 G6CJ C2C6 k2 9C67lQ9EEADi^^E2=<6C]?6HD^a_ae^_b^`_^>2?D\=@4<5@H?\2?I:6EJ\EFC?D\@FE\E@\36\3C2:?\EF>@C^Q E2C86ElQ03=2?<Q C6=lQ?@C676CC6C ?@@A6?6CQm3C2:? EF>@Ck^2m E92E 42? 8C@H E9C@F89@FE E96 3C2:? 2?5 DA:?2= 4@C5]k^Am
kAm{F<6 F?56CH6?E 2 ?:?6\9@FC 3C2:? DFC86CJ E@ C6>@G6 E96 EF>@FC 2E (2=E@? w@DA:E2=[ {:G6CA@@=[ 2?5 H2D E@=5 DFC86@?D H6C6 23=6 E@ C6>@G6 2== @7 :E]k^Am
kAm}@H {F<6 H:== F?56C8@ D42?D @? 9:D 6J6[ 3C2:?[ DA:?6 2?5 3@5J 6G6CJ D:I >@?E9D 7@C E96 ?6IE `_ J62CD E@ >@?:E@C 2?J C6EFC?]k^Am
kAm{F<6[ 2 4:G:= 6?8:?66C[ 7C@> (2CC:?8E@?[ r96D9:C6[ D2:5i Q(96? J@F 86E ?6HD =:<6 E92E[ J@F 8@ :?E@ J@FCD6=7]k^Am
k5:G DEJ=6lQ96:89Eib_AIQ 2C:2\9:556?lQECF6Q 4=2DDlQHA\3=@4<\DA246CQmk^5:Gm
kAmQ*@FC >:?5 C246D[ J@F 5@?VE H2?E E@ DA62< E@ 2?J@?6[ J@F E9:?< J@FC =:76 :D 5@?6]k^Am
kAmQx H2D ae H96? x H2D 5:28?@D65] x 925 E96 C6DE @7 >J =:76 29625 @7 >6[ x 92G6 2 52F89E6C[ 2?5 x H2D?VE DFC6 9@H x H2D 8@:?8 E@ E6== >J 72>:=J]k^Am
kAmQ%96J D2:5 :7 x 5:5?VE 92G6 6>6C86?4J DFC86CJ[ x 4@F=5 92G6 52JD E@ =:G6] x E9@F89E x H2D 8@:?8 E@ 5:6]Qk^Am
kAmp7E6C DF776C:?8 7C@> >:8C2:?6D 7@C 2 564256[ {F<6 H6?E E@ 9:D 5@4E@C 2?5 2D<65 7@C 2? |#x D42?]k^Am
kAmx?:E:2==J[ 5@4E@CD E@=5 9:> :E H2D?VE ?646DD2CJ[ 3FE {F<6 A6CD:DE65 2?5 H6?E 7@C 2 D42? 2E (2CC:?8E@? w@DA:E2=]k^Am
kAmQ~?6 52J[ x H2D 765 FA H:E9 >J 96252496D \ E96J H6C6 86EE:?8 H@CD6 2?5 H@CD6 \ x H2?E65 E@ 4CJ H:E9 E96 A2:?[Q 96 D2:5]k^Am
kAmQx H6?E E@ E96 5@4E@CD[ 2?5 E96J E@=5 >6 x H2D 92G:?8 C62==J 325 >:8C2:?6D[ 3FE E92E 5:5?VE >2<6 D6?D6]k^Am
kAmQx H2D 36:?8 D:4<[ x H2D :? D6G6C6 A2:?[ 2?5 x D2:5 x H2?E65 E@ 92G6 2? |#x D42?]Qk^Am
Luke Taylor in the hospital. (Nia Jones via SWNS)
By Talker
kAmx? yF=J a_ad[ {F<6 H2D 5:28?@D65 H:E9 2 926>2?8:@3=2DE@>2 \ 2 G6CJ C2C6 3C2:? EF>@FC]k^Am
kAmqJ E96 E:>6 @7 5:28?@D:D[ E96 EF>@FC 925 8C@H? D@ =2C86 \ 3:886C E92? 2 8@=7 32== \ E92E {F<6 H2D E@=5 96 @?=J 925 52JD E@ =:G6 H:E9@FE 6>6C86?4J DFC86CJ]k^Am
kAm(:E9:? 2 H66<[ 96 F?56CH6?E 2 ?:?6\9@FC DFC86CJ 2E (2=E@? w@DA:E2= E@ C6>@G6 E96 EF>@FC]k^Am
kAm&?7@CEF?2E6=J[ :E 5:5 ?@E 8@ 2D A=2??65 2?5 C6DF=E65 :? 2 3=665 @? E96 3C2:?[ >62?:?8 96 925 E@ F?56C8@ 7FCE96C 6>6C86?4J DFC86CJ E96 7@==@H:?8 52J]k^Am
kAm{F<6VD A2CE?6C[ }:2 y@?6D[ ae[ 2 3FD:?6DD @A6C2E:@?D DA64:2=:DE[ D2:5i Qx D2H {F<6 27E6C 9:D @A6C2E:@? \ 96 H2D G6CJ 6CC2E:4]k^Am
kAmQw6 H2D D=FCC:?8 9:D H@C5D 2?5 4@F=5?VE @A6? 9:D 6J6D]k^Am
kAmQ%96? 2 52J 27E6C E96 DFC86CJ[ H6 H6C6 E@=5 96 925 2 3=665 @? E96 3C2:? 2?5 925 E@ 8@ 324< :? 7@C 6>6C86?4J DFC86CJ]Qk^Am
kAmp7E6C `g 52JD :? 9@DA:E2=[ {F<6 H2D 5:D492C865[ 2?5 925 E@ C6=62C? 9@H E@ H2=<[ DA62< 2?5 FD6 9:D 92?5D 27E6C E96 5@F3=6 DFC86CJ]k^Am
kAm}:2 D2:5i Q(92E 7@==@H65 H6C6 D@>6 @7 E96 92C56DE >@?E9D]k^Am
kAmQ{F<6 925 E@ C6=62C? 9@H E@ H2=<[ DA62< 282:?[ 2?5 FD6 9:D 92?5D] w6 4@F=5?’E 5C6DD 9:>D6=7 @C 6G6? 4FE FA 9:D @H? 7@@5]k^Am
kAmQtG6CJ 52J H2D 7CFDEC2E:?8[ 6I92FDE:?8[ 2?5 6>@E:@?2= \ 7@C 3@E9 @7 FD \ 3FE H6 H6C6 56E6C>:?65 E@ 5@ 6G6CJE9:?8 A@DD:3=6 E@ 96=A 9:> C64@G6C] Qk^Am
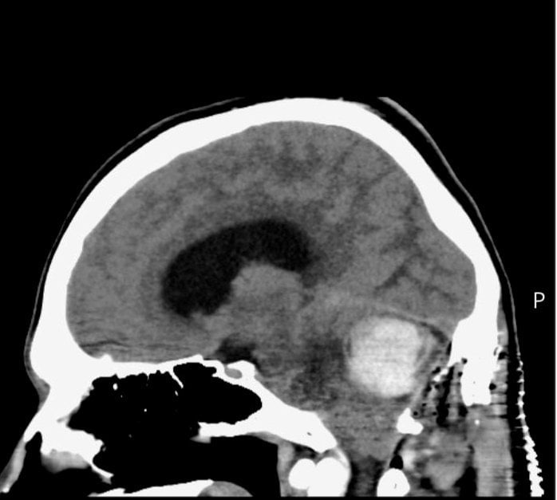
Luke Taylor's brain scan. (Nia Jones via SWNS)
By Talker
kAmx? }@G6>36C a_ad[ {F<6 C646:G65 E96 ?6HD E92E E96 @A6C2E:@? H2D DF446DD7F= 2?5 5@4E@CD H6C6 23=6 E@ C6>@G6 2== E96 EF>@FC]k^Am
kAm}@H 96 H:== F?56C8@ D42?D @? 9:D 6J6[ 3C2:?[ DA:?6 2?5 3@5J 6G6CJ D:I >@?E9D 7@C E96 ?6IE `_ J62CD E@ >@?:E@C 2?J C6EFC?]k^Am
kAmQx H2D @G6CH96=>65 H96? E96J E@=5 >6 E96 DFC86CJ H2D DF446DD7F=[Q {F<6 D2:5]k^Am
kAmQx 4C:65 >J 6J6D @FE[ x H2D D@ 92AAJ E96J 8@E :E 2==]Qk^Am
kAm~? yF=J `g[ a_ae[ }:2[ {F<6[ 9:D D:DE6C[ {629[ 2?5 96C A2CE?6C[ v2CJ[ H:== 36 9:<:?8 E96 E9C66 *@C<D9:C6 A62<D :? @?6 52J E@ C2:D6 >@?6J 7@C E96 qC2:? %F>@FC r92C:EJ]k^Am
kAm}:2 D2:5i Q(6 92G6 8@?6 E9C@F89 2 =@E H:E9 E96 72>:=J]k^Am
kAmQ(6 H2?E65 E@ C2:D6 >@?6J 7@C E96 492C:EJ E92E 92D DFAA@CE65 FD E9C@F89@FE[ 2?5 D9@H DFAA@CE E@ @E96CD]k^Am
kAmQ(6 H2?E E@ D9@H A6@A=6 E92E E96C6 :D =:89E 2E E96 6?5 @7 E96 EF??6= 2?5 A6@A=6 42? 86E E9C@F89 E9:D]Qk^Am
kAmy@2??2 |@DD[ s:C64E@C @7 $6CG:46D 2E %96 qC2:? %F>@FC r92C:EJ[ D2:5i Qu2DE6C 5:28?@D:D @7 3C2:? EF>@FCD :D G:E2=]k^Am
kAmQ%92EVD H9J %96 qC2:? %F>@FC r92C:EJ H@C<D H:E9 962=E942C6 AC@76DD:@?2=D E@ :?4C62D6 E96:C 4@?7:56?46 :? C64@8?:D:?8 D:8?D 2?5 DJ>AE@>D[ 2?5 :? C676CC:?8 7@C D42?D :7 E96J 2C6 2E 2== 4@?46C?65]Qk^Am