(Photo by Alari Tammsalu via Pexels)
By Talker
Leprosy didn't prevent rich medieval families from being buried in the most prestigious graves, reveals new research.
×
Javascript is required for you to be able to read premium content. Please enable it in your browser settings.
kAm(62=E9J s2?6D D9@H65 @77 E96:C 277=F6?46 6G6? :? 562E9 3J 36:?8 =2:5 E@ C6DE Q4=@D6C E@ v@5Q :? E96 >@DE 6IA6?D:G6 A=@ED ?62C6DE E@ 49FC496D[ 244@C5:?8 E@ E96 7:?5:?8D]k^Am
kAm{6A6CD 2C6 @7E6? A@CEC2J65 2D 36:?8 D@4:2==J DE:8>2E:K65 :? E96 |:55=6 p86D]k^Am
kAmqFE E96 ?6H DEF5J @7 :?6BF2=:EJ :? >65:6G2= 8C2G6D 2=D@ D9@H65 E92E DE:8>2E:K65 :==?6DD6D \ k2 9C67lQ9EEADi^^E2=<6C]?6HD^a_aa^``^`e^=6AC@DJ\>2J\9@=5\<6J\E@\4FC:?8\=:G6C\5:D62D6^Q E2C86ElQ03=2?<Q C6=lQ?@C676CC6C ?@@A6?6CQmDF49 2D =6AC@DJk^2m \ 5:5?’E 32C A6@A=6 7C@> D@4:2==J AC6DE:8:@FD 3FC:2=D]k^Am
kAmp? :?E6C?2E:@?2= E62> @7 2C4926@=@8:DED FD65 8C2G6J2C5D :? s6?>2C< E@ :?G6DE:82E6 D@4:2= 6I4=FD:@? 32D65 @? :==?6DD]k^Am
kAm%96J =@@<65 2E H96E96C A6@A=6 H:E9 =6AC@DJ \ 2 9:89=J DE:8>2E:K65 5:D62D6 4F=EFC2==J 2DD@4:2E65 H:E9 D:? \ @C k2 9C67lQ9EEADi^^E2=<6C]?6HD^a_ab^_a^_f^H9@\>:89E\9@=5\E96\<6J\E@\6C25:42E:?8\EF36C4F=@D:D^QmEF36C4F=@D:Dk^2m W%qX H6C6 <6AE @FE @7 E96 9:896C\DE2EFD 2C62D]k^Am
(Photo by JP Nunes via Pexels)
By Talker
kAm&?6IA64E65=J[ E96J 7@F?5 E92E A6@A=6 H9@ H6C6 :== H:E9 DE:8>2E:K65 5:D62D6D H6C6 3FC:65 ;FDE 2D AC@>:?6?E=J 2D E96:C A66CD]k^Am
kAm$EF5J =625 2FE9@C sC] $2:86 z6=>6=:D[ @7 E96 k2 9C67lQ9EEADi^^HHH]FD5]65F^Q E2C86ElQ03=2?<Q C6=lQ?@C676CC6C ?@@A6?6CQm&?:G6CD:EJ @7 $@FE9 s2<@E2k^2m[ D2:5i “(96? H6 DE2CE65 E9:D H@C<[ x H2D :>>65:2E6=J C6>:?565 @7 E96 7:=> |@?EJ !JE9@? 2?5 E96 w@=J vC2:=[ DA64:7:42==J E96 D46?6 H:E9 E96 A=28F6 42CE[”k^Am
kAm“x E9:?< E9:D :>286 56A:4ED @FC :562D @7 9@H A6@A=6 :? E96 A2DE — 2?5 :? D@>6 42D6D E@52J — C6DA@?5 E@ 563:=:E2E:?8 5:D62D6D]k^Am
kAmQw@H6G6C[ @FC DEF5J C6G62=D E92E >65:6G2= 4@>>F?:E:6D H6C6 G2C:23=6 :? E96:C C6DA@?D6D 2?5 :? E96:C >2<6\FA]k^Am
kAmQu@C D6G6C2= 4@>>F?:E:6D[ E9@D6 H9@ H6C6 D:4< H6C6 3FC:65 2=@?8D:56 E96:C ?6:893@FCD 2?5 8:G6? E96 D2>6 EC62E>6?E 2D 2?J@?6 6=D6]”k^Am
kAmsC] z6=>6=:D 2=@?8 H:E9 C6D62C496CD 7C@> E96 k2 9C67lQ9EEADi^^HHH]D5F]5<^6?Q E2C86ElQ03=2?<Q C6=lQ?@C676CC6C ?@@A6?6CQm&?:G6CD:EJ @7 $@FE96C? s6?>2C<k^2m 6I2>:?65 hbh 25F=E D<6=6E@?D 7C@> 7:G6 s2?:D9 >65:6G2= 46>6E6C:6D \ E9C66 FC32? 2?5 EH@ CFC2= \ E@ 42AEFC6 A@DD:3=6 5:776C6?46D 36EH66? E@H?D 2?5 E96 4@F?ECJD:56]k^Am
kAm%96 C6D62C49 E62> 6IA=2:?65 E92E 9:896C A@AF=2E:@? 56?D:EJ >2<6D :E 62D:6C 7@C 3@E9 =6AC@DJ 2?5 %q E@ 36 EC2?D>:EE65[ 2?5 F?962=E9J 4@?5:E:@?D EC25:E:@?2==J 2DD@4:2E65 H:E9 >65:6G2= E@H?D :?4C62D6 GF=?6C23:=:EJ E@ 3@E9 5:D62D6D]k^Am
kAmqFE E96 EH@ 5:D62D6D :>A24E65 A2E:6?ED’ =:G6D 5:776C6?E=J]k^Am
kAm{6AC@DJ A2E:6?ED’ 724:2= =6D:@?D H@F=5 92G6 >2C<65 E96> @FE 2D 5:776C6?E[ F?=:<6 E96 =6DD\DA64:7:4 DJ>AE@>D @7 EF36C4F=@D:D]k^Am
kAmsC] z6=>6=:D D2:5i “%F36C4F=@D:D :D @?6 @7 E9@D6 49C@?:4 :?764E:@?D E92E A6@A=6 42? =:G6 H:E9 7@C 2 G6CJ =@?8 E:>6 H:E9@FE DJ>AE@>D]k^Am
kAm“p=D@[ EF36C4F=@D:D :D ?@E 2D G:D:3=J 5:D23=:?8 2D =6AC@DJ[ 2?5 :? 2 E:>6 H96? E96 42FD6 @7 :?764E:@? 2?5 C@FE6 @7 EC2?D>:DD:@? H6C6 F?<?@H?[ EF36C4F=@D:D A2E:6?ED H6C6 =:<6=J ?@E >6E H:E9 E96 D2>6 DE:8>2E:D2E:@? 2D E96 >@C6 @3G:@FD =6AC@DJ A2E:6?ED]k^Am
kAmQ!6C92AD >65:6G2= 7@=<D H6C6 D@ 3FDJ 562=:?8 H:E9 @?6 5:D62D6 E92E E96 @E96C H2D ;FDE E96 496CCJ @? E@A @7 E96 5:D62D6 DF?526]”k^Am
kAm%96 C6D62C49 E62> 2DD6DD65 5:D62D6 DE2EFD 7@C 6249 D<6=6E@?[ 2D H6== 2D 9@H =@?8 6249 A6CD@? 925 =:G65]k^Am
kAm{6AC@DJ =62G6D 369:?5 6G:56?46 @7 724:2= =6D:@?D 2?5 52>286 E@ E96 92?5D 2?5 766E 42FD65 3J D64@?52CJ :?764E:@?D[ H9:=6 %q 27764ED E96 ;@:?ED 2?5 3@?6D ?62C E96 =F?8D]k^Am
kAm$4:6?E:DED E96? >2AA65 @FE E96 46>6E6C:6D[ =@@<:?8 7@C 2?J 56>2C42E:@?D E92E H@F=5 :?5:42E6 DE2EFD 5:776C6?46D[ DF49 2D 3FC:2=D H:E9:? C6=:8:@FD 3F:=5:?8D]k^Am
kAm%96J A=@EE65 6249 D<6=6E@? @? >2AD[ =@@<:?8 7@C 5:776C6?46D 36EH66? 9:896C\ 2?5 =@H6C\DE2EFD 2C62D]k^Am
kAmsC] z6=>6=:D D2:5i “%96C6 :D 5@4F>6?E2E:@? @7 :?5:G:5F2=D 36:?8 23=6 E@ A2J 2 766 E@ 92G6 2 >@C6 AC:G:=6865 A=246 @7 3FC:2=]k^Am
kAm“x? =:76[ E96D6 7@=<D \ 36?6724E@CD[ <?:89ED[ 2?5 4=6C8J \ H6C6 2=D@ =:<6=J 23=6 E@ FD6 E96:C H62=E9 E@ D64FC6 4=@D6C AC@I:>:EJ E@ 5:G:?:EJ[ DF49 2D 92G:?8 2 A6H 4=@D6C E@ E96 7C@?E @7 E96 49FC49]”k^Am
kAm%96 7:?5:?8D[ AF3=:D965 :? E96 ;@FC?2= k2 9C67lQ9EEADi^^HHH]7C@?E:6CD:?]@C8^;@FC?2=D^6?G:C@?>6?E2=\2C4926@=@8JQ E2C86ElQ03=2?<Q C6=lQ?@C676CC6C ?@@A6?6CQmuC@?E:6CD :? t?G:C@?>6?E2= pC4926@=@8Jk^2m[ D9@H65 ?@ @G6C2== =:?< 36EH66? 5:D62D6 2?5 3FC:2= DE2EFD]k^Am
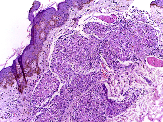
Section of skin showing epithelioid granulomas in the dermis and reduction in the number of appendages. (Department of Pathology, Calicut Medical College via Wikimedia Commons)
By Talker
kAm~?=J 2E E96 FC32? 46>6E6CJ @7 #:36 H6C6 E96C6 2?J 5:776C6?46D E92E 4@CC6=2E65 H:E9 962=E9]k^Am
kAmpC@F?5 2 E9:C5 @7 A6@A=6 3FC:65 :? E96 =@H6C\DE2EFD 46>6E6CJ 925 %q[ 4@>A2C65 E@ `aT @7 E96 A6@A=6 3FC:65 :? E96 >@?2DE6CJ @C E96 49FC49]k^Am
kAmpD A6@A=6 H:E9 k2 9C67lQ9EEADi^^E2=<6C]?6HD^a_ab^_a^_f^H9@\>:89E\9@=5\E96\<6J\E@\6C25:42E:?8\EF36C4F=@D:D^Q E2C86ElQ03=2?<Q C6=lQ?@C676CC6C ?@@A6?6CQm=6AC@DJ @C %qk^2m H6C6 ?@E 6I4=F565 7C@> 9:896C\DE2EFD 2C62D[ E96 C6D62C49 E62> 36=:6G6 E92E C67=64E65 5:776C6?E =6G6=D @7 6IA@DFC6 E@ %q[ ?@E DE:8>2]k^Am
kAmp== E96 46>6E6C:6D DEF5:65 4@?E2:?65 >2?J %q A2E:6?ED \ 6DA64:2==J E96 FC32? 46>6E6CJ @7 sC@EE6?[ H96C6 ?62C=J 92=7 E96 3FC:2=D H6C6 :? 9:89\DE2EFD 2C62D 2?5 d`T 925 %q]k^Am
kAm%96 C6D62C496CD A@:?E65 @FE E92E A6@A=6 H9@ 4@F=5 277@C5 AC6DE:8:@FD 8C2G6D 4@F=5 2=D@ 92G6 A2:5 7@C 36EE6C =:G:?8 4@?5:E:@?D[ H9:49 96=A65 E96> DFCG:G6 %q =@?8 6?@F89 7@C E96 5:D62D6 E@ >2C< E96:C 3@?6D]k^Am
kAm%96 E62> D2J E96:C 7:?5:?8D DF886DE E92E >65:6G2= A6@A=6 H6C6 =6DD =:<6=J E@ 6I4=F56 E96 G:D:3=J D:4< 7C@> D@4:6EJ E92? DE6C6@EJA6D :?5:42E6]k^Am
kAmqFE E96J D2:5 >@C6 6I42G2E:@?D 2C6 ?66565 E@ 86E 2 >@C6 4@>A=6E6 A:4EFC6]k^Am
kAmsC] z6=>6=:D 25565i “x?5:G:5F2=D >2J 92G6 366? 42CCJ:?8 E96 324E6C:2 3FE 5:65 367@C6 :E 4@F=5 D9@H FA :? E96 D<6=6E@?]k^Am
kAm“&?=6DD H6 42? :?4=F56 86?@>:4 >6E9@5D[ H6 >2J ?@E <?@H E96 7F== 6IE6?E @7 9@H E96D6 5:D62D6D 27764E65 A2DE 4@>>F?:E:6D]”k^Am